FULL MOUTH IMPLANTS / FULL MOUTH REHABILITATION




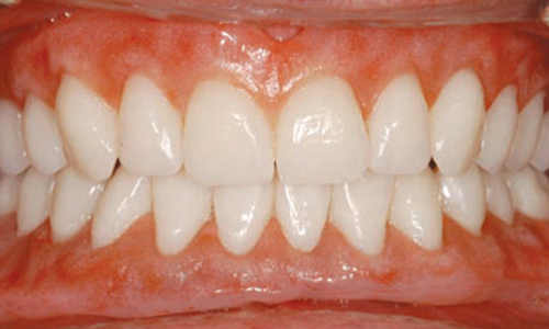
Full-mouth dental implants are a fixed prosthesis that replace all the teeth by anchoring to the jawbone with titanium, and the bone actually fuses to the implant through a process called osseointegration, reducing the risk of bone loss

Full-mouth dental implants are what they sound like: a long-lasting replacement for most or all of a patient’s teeth.


Treatment options for missing teeth in either or both arches



FULL MOUTH FIXED IMPLANTS Vs IMPLANT SUPPORTED OVERDENTURE

Full mouth Implants are fixed prosthesis replacing the teeth by anchoring to the jaw bone by titanium implants. They cannot be removed by the patient

Implant-supported dentures are attached to implants in the jawbone that extend outward from the gums. They can be removed by the patient and cleaned by a toothbrush.

Full mouth implants are fixed and cannot be removed by the patient like implant supported overdenture

Full mouth implants have a superior resemblance to natural teeth as compared to implant overdenture

Full mouth implants have the greatest chewing efficiency

Full mouth Implants need more number of implants placed as compared to Implant overdenture type

Full mouth Implants need practising of hygiene measures more meticulously by the patient as compared to implant overdenture where the denture can be removed and cleaned easily

Full mouth Implants is a permanent treatment option, longer lasting. Whereas Implant Overdentures are transitional treatment options

Full mouth Implants are costlier as compared to Implant Overdenture


UPPER ARCH FIXED IMPLANTS



OVERDENTURE PROCEDURE

Before implant placement

At 2nd stage of implant placement

Intra oral view of abutments

Final overdenture fabrication


IMPLANT SUPPORTED OVERDENTURES

Implant overdenture shows minimum bone loss around the implants

Improved looks & esthetics in implant overdenture

Reduces or eliminates prosthesis movement as implant overdenture are more stable especially in the lower jaw, where conventional dentures are most likely to slip out of place.

Improved chewing efficiency compared to normal dentures

Reduced prosthesis size (Can eliminate the palatal coverage) in implant overdenture

Improved speech in implant overdenture

Easy hygiene maintenance as dentures are removable

Cost of implant overdenture is more than normal denture

Listen to our patient what they have to say about treatment after their fully recover.