Filling and Restoration

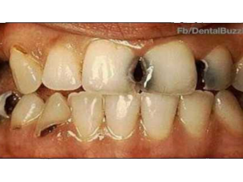
Dental caries or tooth decay is a major oral health problem in most industrialized countries affecting 60-90% of school children and the vast majority of adults. 

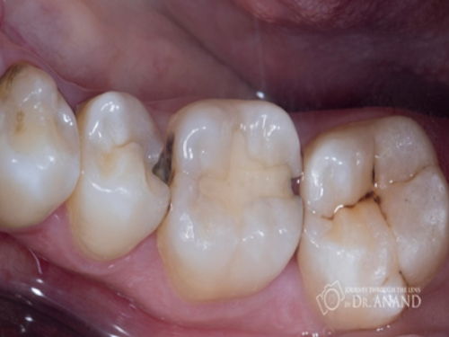
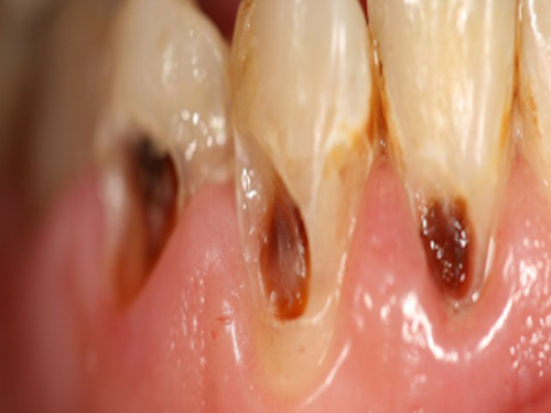
Early manifestation of decay is discolored surface of tooth. This is the demineralized portion of enamel (outer layer of tooth). This is mostly irreversible process requiring restorative treatment. If not treated at this stage, the decay may further involve dentin and pulp requiring more invasive procedure like root canal treatment.

Modern dentistry has introduced various tooth colored materials which are used for treatments like tooth decay, tooth fracture, diastema closure, smile designing.

Previously amalgam that is silver filling was widely used in dental practice, but due to its mercury component and unaesthetic features it is replaced by advanced tooth colored fillings.

Is it necessary to do restorative treatment?

It is suggested to get dental treatment done as early as possible. Progress of dental caries can be stopped by doing simple restorative treatment. If this is delayed, caries may progress involving pulp which requires root canal.

Restoration not only seizes progress of caries but also restores normal anatomy of tooth.

                          

Caries prone areas 

Some tooth surfaces have more chances of caries due to their anatomy food lodgment is inevitable. Most caries susceptible areas are;

Composite 

It is one of the widely used restorative material in dentistry. It is available in various shades. Shade guide is used for proper matching of the tooth color.

Steps in composite restoration

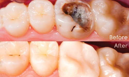
It is mostly completed in single sitting. Tooth appeared to be carious is prepared to receive composite. This procedure needs to be done in proper isolation to have good tooth to composite bond. After completion of the restoration, it is polished to get smooth and glossy surface so that there is no food retention.

Uses of composite

In treatment of caries

Fractured tooth segment

Closure of small gaps between teeth

      

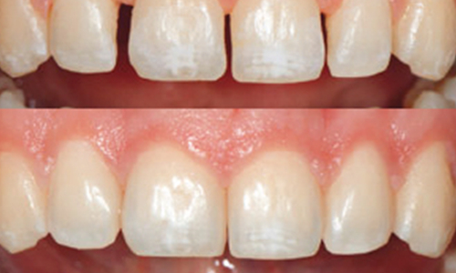
Glass ionomer cement

GIC has fluoride releasing capacity which makes it anticariogenic. Fluoride release helps in prevention of caries. It bonds chemically with the tooth.
GIC is usually avoided in back teeth due to their less strength. They are mostly used in pediatric patients.

Steps in GIC restoration

It is a single sitting procedure. Caries are excavated and then tooth is properly isolated. GIC is placed and petroleum jelly is applied on the surface to avoid its dehydration. Patient should avoid water or food for next 30-60 min.