FAQ’s FOR Orthodontic Treatment


Q. What is orthodontic treatment?
A. Orthodontic treatment is a way of straightening or moving teeth, to improve the appearance of the teeth and how they work.  It can also help to look after the long-term health of the teeth, gums and jaw joints, by spreading the biting pressure over all the teeth.

Q. Why should I have Orthodontic Treatment?
A. Many people have crowded or crooked teeth.  Orthodontic treatment will straighten the teeth or move them into a better position.  This can not only improve their appearance but also the way the teeth bite together, while also making them easier to clean. 
In some patients the upper front teeth can stick out and look unsightly.  These ‘prominent’ teeth are more likely to be damaged, but orthodontic treatment can move them back into line.  In others, the way the upper and lower jaws meet can cause teeth to look unsightly and lead to an incorrect bite. Orthodontic treatment may be able to correct both.
When the teeth don’t meet correctly, this can put strain on the muscles of the jaw, causing jaw and joint problems and in some cases headaches.  Orthodontic treatment can help you to bite more evenly and reduce the strain.

Q. At what age should I have orthodontic treatment?
A. Orthodontic treatment is generally best carried out in children, but adults can have orthodontic treatment too – and more and more are doing so.  Age is less important than having the proper number of teeth.  In children it may be necessary to wait for enough teeth to come through before starting treatment.

Q. What does it involve?
A. The most important thing is to have a full examination.  This will usually involve looking at your teeth, taking x-rays and making plaster models of your teeth.
Your dentist or orthodontist will then discuss what treatment is possible.  Once you are sure you want to go ahead, the treatment can begin as soon as you have enough permanent teeth.

Q. Will I need to have teeth taken out to make room?
A. 
You may not have enough room for all your permanent teeth and so it may be necessary to take out some permanent teeth to make space. Your dentist will tell you whether this is the case. Sometimes space can be created using other forms of treatment.


Q. How is treatment carried out?
A. Orthodontic treatment can be done by many sorts of appliances, which most people know as ‘braces’.


Q. What is a removable appliance?
A. Simple treatment may be carried out with a removable appliance (a plate that can be taken out to be cleaned). It has delicate wires and springs attached, which move the teeth using gentle pressure.

Q. What is a functional appliance?
A. It is sometimes possible to change the way the jaws grow, using orthodontic appliances. These functional appliances use the power of your jaw muscles and can help with certain types of problem.


Q. What is a fixed appliance?
A. Often, teeth need to be guided more accurately than they can be using a removable plate.  So fixed appliances are used.  These have brackets and bands temporarily stuck to the teeth.  A flexible wire joins all the brackets and allows the teeth to be moved.  It is not possible for the patient to take the appliance out and so it is called a fixed appliance.


Q. What are the brackets made of?
A. 
Fixed braces are not always made of metal. Plastic and ceramic can be used, especially for adults.

Types Of Braces :

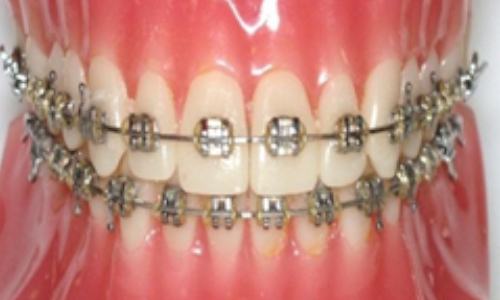
Metal Braces

Conventional metal braces are most common and still widely used braces treatment. They give the same result when compared to other types of braces but anyone can make out that you are undergoing braces treatment.

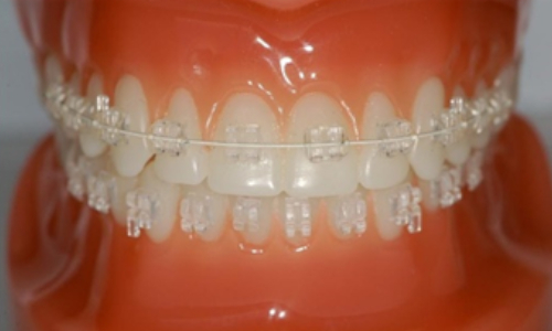
Clear /Ceramic Braces

Clear braces makes wearing braces less noticeable and hence, look aesthetic. they can be combined with vibrant colored elastic. These are braces which commonly people prefer.

Lingual Braces

Lingual braces are attached to the inside or lingual side of the teeth which makes them completely invisible.
Lingual orthodontics particularly well-suited for adults whose profession keeps them in the public eyes & doesn’t want that others should not know about it.

Invisalign

Invisible, removable braces are made from CAD CAM technique with a transparent material. Being transparent and of high aesthetic value, no one can make out that you are wearing it to achieve a Great Smile of yours.

Q. What is headgear?
A. 
It is sometimes necessary to wear headgear as well as a fixed or a removable appliance. You usually only need to wear it in the evenings or at nights. Your orthodontist will discuss whether it is necessary. It is very important to wear it in the way the orthodontist tells you, otherwise treatment may not progress correctly.


Q. What are elastics?
A. It may be necessary to attach delicate elastic bands to a fixed brace to help move the teeth. Your orthodontist will tell you if you need elastics.


Q. How long will it take?
A. 
The length of treatment depends on how severe the problem is, and may take anything from a few months to two and a half years. Most people can be treated in one to two years.


Q. What happens when the teeth are in the right position?
A. 
When treatment is finished the teeth need to be held in position for a time. This period is called retention, and the appliances that hold the teeth in place are called retainers.

The retainers hold newly straightened teeth in position while the surrounding gum and bone settles. The retainers can be removable or fixed depending on the original problem.


Q. How many visits will it take?
A. Orthodontic appliances usually need adjusting every 4 to 6 weeks.  Your orthodontist will tell you how often your appliance will need adjusting.


Q. Will it hurt?
A. 
All appliances may feel strange to begin with and can cause discomfort. If the problem doesn’t go away the orthodontist may be able to carry out adjustments to help. Teeth are usually uncomfortable immediately after adjustment but this will settle.


Q. How successful will it be?
A. 
Success depends on a partnership between the skills of the orthodontist, and the enthusiasm and help of patient and parents. It is important to attend regularly and carry out any instructions given by the orthodontist.

The success of the treatment also depends on the commitment of the patient.  For children’s orthodontic treatment it is very important that the patient is as keen as the parent.


Q. Is orthodontic work permanent?
A. 
Even after retention, it is normal for minor tooth movements to happen throughout life, so no permanent guarantee can be given. However, it is unusual for teeth to alter enough to need further treatment.


Q. How do I go about getting orthodontic treatment?
A. 
The first thing to do is to go along to your own dentist and get his or her advice. Your dentist will know whether you need treatment and make the necessary arrangements.


Q. How do I care for my brace and teeth?
A. 
It is important to continue to have your teeth checked by your dentist while having orthodontic treatment.  You also need to take extra care of your teeth and mouth:

1. Clean your teeth carefully every day, including between your teeth where you can.  Your dentist or hygienist will be able to show you the special techniques to use depending on the appliance you are wearing.

 2. Keep sugary foods and drinks to a minimum.  Avoid ‘snacking’ with foods or drinks containing sugar, especially fizzy drinks.  Your dentist will help.  Also, sticky and hard foods may damage the delicate orthodontic appliances.

3. Always use a fluoride toothpaste and mouthwash.  Your dentist may recommend a fluoride toothpaste or application for you to use. 

Q. Can orthodontics damage my teeth?
A. 
Your teeth can be damaged if they are not properly looked after during treatment.  Appliances will not in themselves cause damage, but poor cleaning and too many sugary drinks and snacks can cause permanent damage.