Child Dental Care


Your child’s first visit

The first "regular" dental visit should be just after your child’s third birthday. The first dental visit is usually short and involves very little treatment. We may ask you to sit in the dental chair and hold your child during the examination. You may also be asked to wait in the reception area during part of the visit so that a relationship can be built between your child and your dentist.

We will gently examine your child’s teeth and gums. X-rays may be taken (to reveal decay and check on the progress of your child’s permanent teeth under the gums). We may clean your child’s teeth and apply topical fluoride to help protect the teeth against decay. We will make sure your child is receiving adequate fluoride at home. Most important of all, we will review with you how to clean and care for your child’s teeth. 

What should I tell my child about the first dental visit?

We are asked this question many times. We suggest you prepare your child the same way you would before their first haircut or trip to the shoe store. Your child’s reaction to his first visit to the dentist may surprise you.

Here are some "First Visit" tips:

  • Take your child for a "preview" of the office.
  • Read books with them about going to the dentist.
  • Review with them what the dentist will be doing at the time of the first visit.
  • Speak positively about your own dental experiences.

During your first visit the dentist will:

  • Examine your mouth, teeth and gums.
  • Evaluate adverse habits like thumb sucking.
  • Check to see if you need fluoride.
  • Teach you about cleaning your teeth and gums.
  • Suggest a schedule for regular dental visits.

Home Dental Care Tips 
It is often difficult initially to brush your child's teeth. They can really put up a struggle, screaming, kicking, crying, running away, not opening their mouths - every kid is different. Healthy teeth and gums are so important to start out life with. We've often heard the value of choosing your battles with your children, and this is one to choose. Remember that the initial challenge you face is actually more taxing on you than it ultimately is for your child.

Treatments

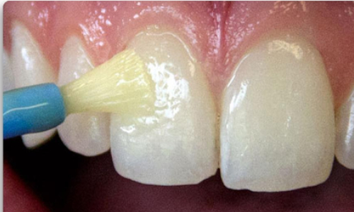
1.Pit And Fissure Sealants :-

A sealant is a resin material that is applied to the pits and fissures of back teeth.

A sealant acts as a barrier, protecting the enamel from bacterial plaque in cavity prone areas.

Children are much more susceptible to tooth decay than adults and should have their back teeth sealed as soon as the teeth grow in fully.

Applying sealants is a quick, easy and painless procedure. They are painted on and bonded in place.

2.Space Maintainer

What are Space Maintainers?                   
Space maintainers are small appliances which are either fixed or removable type, used to maintain space in the jaws if a milk tooth is lost or removed prematurely.

What are the advantages of having Space Maintainers?
Once Space maintainers are placed, they prevent the adjacent tooth from moving into the space created by the premature loss of milk tooth. This in turn preserve the space for the permanent tooth as well as prevent malocclusions from developing. It has been estimated that 60% of malocclusion is because of premature loss of milk tooth and lack of space maintenance.

3.Restorations / fillings

Glass ionomer cement
GIC has fluoride releasing capacity which makes it anticariogenic. Fluoride release helps in prevention of caries. It bonds chemically with the tooth.

They are mostly used in pediatric patients.


Steps in GIC restoration
It is a single sitting procedure. Caries are excavated and then tooth is properly isolated. GIC is placed and petroleum jelly is applied on the surface to avoid its dehydration. Patient should avoid water or food for next 30-60 min.

4.Pulpectomy Or Root Canal :-
Also known as a “baby root canal.”

Once a cavity reaches the inside of the tooth, the living part, the inside of the tooth becomes infected with bacteria and needs to be cleaned out.

When we do this, we clean (or drill) out the cavity and make a hole into the inside of the tooth. All of the infected living tissue inside the tooth is then removed. The inside of the tooth is completely cleaned out and is now hollow. Medicine is then placed inside the tooth to help prevent infection and fill the empty space.

A crown will then be placed on top of the tooth to help prevent further infection and to replace the tooth removed due to the cavities. 

5.Fluoride Treatment

Fluoride Treatment is a safe and effective treatment for the prevention of cavities in children. Fluoride is a mineral that fortifies teeth and makes the teeth less susceptible to decay. Although we receive fluoride from food and water, professional fluoride treatments are sometimes necessary if there are pits and fissures on the chewing surfaces of teeth or if the root surfaces are exposed or sensitive. Frequent intake of sugar and carbohydrate, inadequate saliva production and insufficient fluoride intake also call for a professional fluoride treatment.